IMAGE ATLAS

About the Site:

The thyroid web atlas contains 300 images of key thyroid lesions in an easy-to-search format. All images have been independently reviewed and approved by the committee members.

Using the Atlas:

  • Click on an album to see the thumbnail images
  • Click on the thumbnails to see the intermediate images
  • Click on the intermediate image to obtain the full sized image

Use of Images:

These images are intended for educational purposes and may be freely used for such as long as the Papanicolaou Society and the Bethesda System for Reporting Thyroid Cytopathology is credited.

  Gallery Links - Home :: Login :: Album list :: Last uploads :: Last comments :: Most viewed :: Top rated :: My Favorites :: Search
   
PSCO Website Links - Atlas Home - Main - About Us - News - Case of the Month - Guidelines - Links - Contact
Home > ATYPIA OF UNDETERMINED SIGNIFICANCE or FOLLICULAR LESION OF UNDETERMINED SIGNIFICANCE > Atypia of Undetermined Significance (AUS)
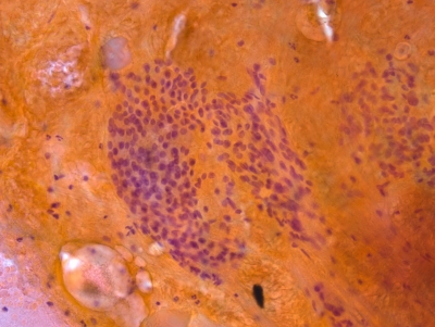
Atypia of Undetermined Significance/Follicular Lesion of Undetermined Significance
Representative of sample showing aggregates of degenerate follicular cells in a bloody sample. Probably benign, but the cellularity and nuclear overlap caused insecurity in the observer's opinion. Thus AUS.
Keywords: Atypia of Undetermined Significance

Atypia of Undetermined Significance/Follicular Lesion of Undetermined Significance

Representative of sample showing aggregates of degenerate follicular cells in a bloody sample. Probably benign, but the cellularity and nuclear overlap caused insecurity in the observer's opinion. Thus AUS.

AUS_FLUS_scenario_6Composite.jpg AUS_FLUS_scenario_8Composite.jpg AUS-SFT.jpg image_091016_001~0.JPG image_000215_010~0.JPG
Rate this file (Current rating : 0.5 / 5 with 31 votes)