IMAGE ATLAS

About the Site:

The thyroid web atlas contains 300 images of key thyroid lesions in an easy-to-search format. All images have been independently reviewed and approved by the committee members.

Using the Atlas:

  • Click on an album to see the thumbnail images
  • Click on the thumbnails to see the intermediate images
  • Click on the intermediate image to obtain the full sized image

Use of Images:

These images are intended for educational purposes and may be freely used for such as long as the Papanicolaou Society and the Bethesda System for Reporting Thyroid Cytopathology is credited.

  Gallery Links - Home :: Login :: Album list :: Last uploads :: Last comments :: Most viewed :: Top rated :: My Favorites :: Search
   
PSCO Website Links - Atlas Home - Main - About Us - News - Case of the Month - Guidelines - Links - Contact
Home > MALIGNANT > Undifferentiated (anaplastic) Carcinoma
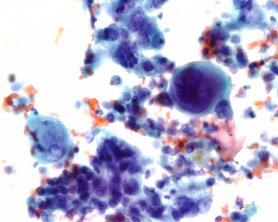
Anaplastic Carcinoma of Thyroid
Pap stained image with giant tumor cells
Keywords: Anaplastic Carcinoma

Anaplastic Carcinoma of Thyroid

Pap stained image with giant tumor cells

Pap_CA,_powdery_nuclei,_small_nucleoli_and_small_inclusion,_PAP_hp.jpg Spindle_Medullary_CA-4~0.jpg Anaplastic_Ca_Thyroid_OSS-ZC08-6549-4.jpg MED_CA-2.jpg Spindle_medullary_CA_w_amyloid.jpg
Rate this file (Current rating : 0 / 5 with 27 votes)