IMAGE ATLAS

About the Site:

The thyroid web atlas contains 300 images of key thyroid lesions in an easy-to-search format. All images have been independently reviewed and approved by the committee members.

Using the Atlas:

  • Click on an album to see the thumbnail images
  • Click on the thumbnails to see the intermediate images
  • Click on the intermediate image to obtain the full sized image

Use of Images:

These images are intended for educational purposes and may be freely used for such as long as the Papanicolaou Society and the Bethesda System for Reporting Thyroid Cytopathology is credited.

  Gallery Links - Home :: Login :: Album list :: Last uploads :: Last comments :: Most viewed :: Top rated :: My Favorites :: Search
   
PSCO Website Links - Atlas Home - Main - About Us - News - Case of the Month - Guidelines - Links - Contact
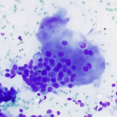
Home > MALIGNANT > Papillary Thyroid Carcinoma - Classic, Romanowsky Stain
Multinucleated giant cell in papillary carcinoma
These inflammatory type giant cells are sometimes seen in papillary carcinoma
Keywords: Giant Cell Papillary Carcinoma

Multinucleated giant cell in papillary carcinoma

These inflammatory type giant cells are sometimes seen in papillary carcinoma

Papillary_CA,_giant_cell_and_tumor_sheets,_PAP_lp2.jpg Papilllary_CA_with_papillary_frond_tips_PAP,_lp.jpg Papillary_CA,_giant_cell,_DQ_lp.jpg Pap_CA,_excellent_inclusion,_DQ.jpg Pap_CA,_nuclear_grooves,_PAP.jpg
Rate this file (Current rating : 0.6 / 5 with 14 votes)