IMAGE ATLAS

About the Site:

The thyroid web atlas contains 300 images of key thyroid lesions in an easy-to-search format. All images have been independently reviewed and approved by the committee members.

Using the Atlas:

  • Click on an album to see the thumbnail images
  • Click on the thumbnails to see the intermediate images
  • Click on the intermediate image to obtain the full sized image

Use of Images:

These images are intended for educational purposes and may be freely used for such as long as the Papanicolaou Society and the Bethesda System for Reporting Thyroid Cytopathology is credited.

  Gallery Links - Home :: Login :: Album list :: Last uploads :: Last comments :: Most viewed :: Top rated :: My Favorites :: Search
   
PSCO Website Links - Atlas Home - Main - About Us - News - Case of the Month - Guidelines - Links - Contact
Home > SUSPICIOUS FOR MALIGNANCY > Suspicious for medullary carcinoma
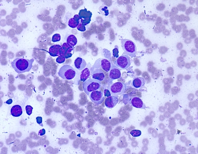
Few scattered plasmacytoid cells. (Histologic follow-up: Langerhans cell histiocytosis).
Keywords: Suspicious for Medullary Carcinoma Langhans Cell Histocytosis

Few scattered plasmacytoid cells. (Histologic follow-up: Langerhans cell histiocytosis).

LCH40HC~0.JPG image_090917_016~2.JPG The_Bethesda_System_for_Reporting_Thyroid_Cytopathology,_2010,_Pg.jpg SusNHLSyed_1.jpg SUSNHLSyed_2.jpg
Rate this file (Current rating : 1.2 / 5 with 55 votes)