IMAGE ATLAS

About the Site:

The thyroid web atlas contains 300 images of key thyroid lesions in an easy-to-search format. All images have been independently reviewed and approved by the committee members.

Using the Atlas:

  • Click on an album to see the thumbnail images
  • Click on the thumbnails to see the intermediate images
  • Click on the intermediate image to obtain the full sized image

Use of Images:

These images are intended for educational purposes and may be freely used for such as long as the Papanicolaou Society and the Bethesda System for Reporting Thyroid Cytopathology is credited.

  Gallery Links - Home :: Login :: Album list :: Last uploads :: Last comments :: Most viewed :: Top rated :: My Favorites :: Search
   
PSCO Website Links - Atlas Home - Main - About Us - News - Case of the Month - Guidelines - Links - Contact
Home > MALIGNANT > Poorly Differentiated Carcinoma
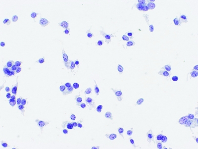
Poorly Differentiated Carcinoma (Insular Carcinoma).
Isolated malignant cells (ThinPrep®).
Keywords: Insular Carcinoma, Poorly Differentiated Carcinoma

Poorly Differentiated Carcinoma (Insular Carcinoma).

Isolated malignant cells (ThinPrep®).

Insular_CA_D.jpg Insular_CA_C.jpg Ic40f.jpg IC-PTC40.JPG PDCA-3.jpg
Rate this file (Current rating : 0.3 / 5 with 41 votes)